Skip to main content

RETRAÇÃO DA GENGIVA: CAUSAS E TRATAMENTO

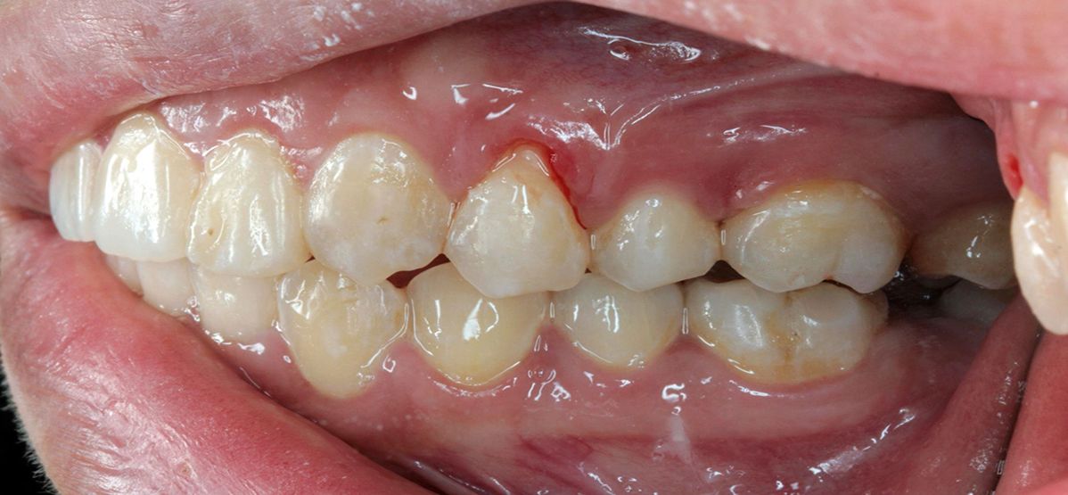
A raiz do dente é constituída por nervos que fixam o dente na gengiva, no maxilar e na mandíbula. Quando a raiz fica exposta, o resultado pode ser a sensibilidade dentária e problemas graves na saúde bucal.

A retração gengival acontece quando o tecido da gengiva perde volume e retrai, promovendo a exposição da raiz.

Essa é uma condição que pode surgir como consequência de algum trauma, lesão, escovação ou uso do fio dental de forma agressiva ou pelo uso de pastas dentais abrasivas, normalmente utilizadas em tratamentos para branqueamento ou controle de tártaros. A má oclusão, ausência de dentes e bruxismo são fatores que também contribuem para a retração gengival.

A genética é outro fator que pode influenciar nas características da gengiva. Por isso, se os seus pais possuem retração gengival, existe uma chance considerável de você também desenvolver.

A ausência da higiene adequada pode causar a gengivite ou periodontite, que também contribuem para a retração gengival.

O tratamento vai depender do causador do problema, podendo incluir a remoção de cáries, tratamento de canal, extração dentária, acompanhamento com cirurgião bucomaxilofacial (em casos de traumas) ou alinhamento dos dentes.

Em casos de retração gengival leve, o tratamento pode ser realizado com a reavaliação dos cuidados bucais e orientação da técnica correta para escovação dos dentes, utilização de uma placa de mordida e a alteração da escova de dente.

É importante ficar atento aos sinais e buscar ajuda profissional ao notar qualquer sintoma, além de fazer visitas periódicas ao dentista para avaliação profissional e manutenção.